“用我的伤换孩子的命,值得!” —— 男子从三米高处跳下勇救落水男童
文章来源:桂阳县融媒体中心 作者: 时间:2024-01-26 16:38:28危急时刻,他从三米高处一跃而下,不顾腿骨折疼痛,及时救下落水男童。面对高昂的手术费,他选择在家默默养伤,尽管家境十分艰难,他既没有图任何回报,也从未向被救男童家人索要医药费。近日,郴州市桂阳县雷坪镇村民邓喜忠勇救落水男童的事迹引起强烈反响,他无私无畏的精神受到网友们盛赞。“虽然我受了伤,生活有困难,但我可以慢慢熬过去,用我的伤换孩子的命,值得!”邓喜忠的话朴实而坚定。为表彰“无私无畏”好人精神,致敬“见义勇为”壮义之举,桂阳县委、县政府对邓喜忠进行了表彰奖励,礼赞凡人善举,点亮“好人之城”。
三米跳下 挽救生命
2023年12月13日,邓喜忠回老家雷坪镇上岗村办事,途经礼堂时,突然看见一名男童在下方的井边玩耍不慎一头栽进了井里。此时,邓喜忠的面前是一处几乎垂直的三米高陡坡,危急时刻,他不顾自身安危,以最快的速度直接从陡坡上跳了下来。高处坠落对邓喜忠的左腿造成了剧烈冲击,他强忍着剧痛挪到井边,迅速将男童从井里捞了上来。

△图为雷坪镇上岗村白玉冲礼堂的三米高陡坡
“跳下去的瞬间,我感觉左腿猛地疼了一下,但当时也顾不上了。我过去抓住男孩时,他已经呛了几口水,我一手撑着井边,一手用力把他捞了上来。之后,我快速拍他的后背,直到他把水吐了出来,我才松了一口气。”回想当时救人的过程,邓喜忠记忆犹新,直到孩子可以发出哭喊声之后,他才发现自己左腿已经疼得无法动弹,只能通过最后的力气呼喊向附近村民求助。由于救援及时,孩子并无大碍。

△图为邓喜忠救上来的男童,目前安然无恙
无私无畏 不求回报
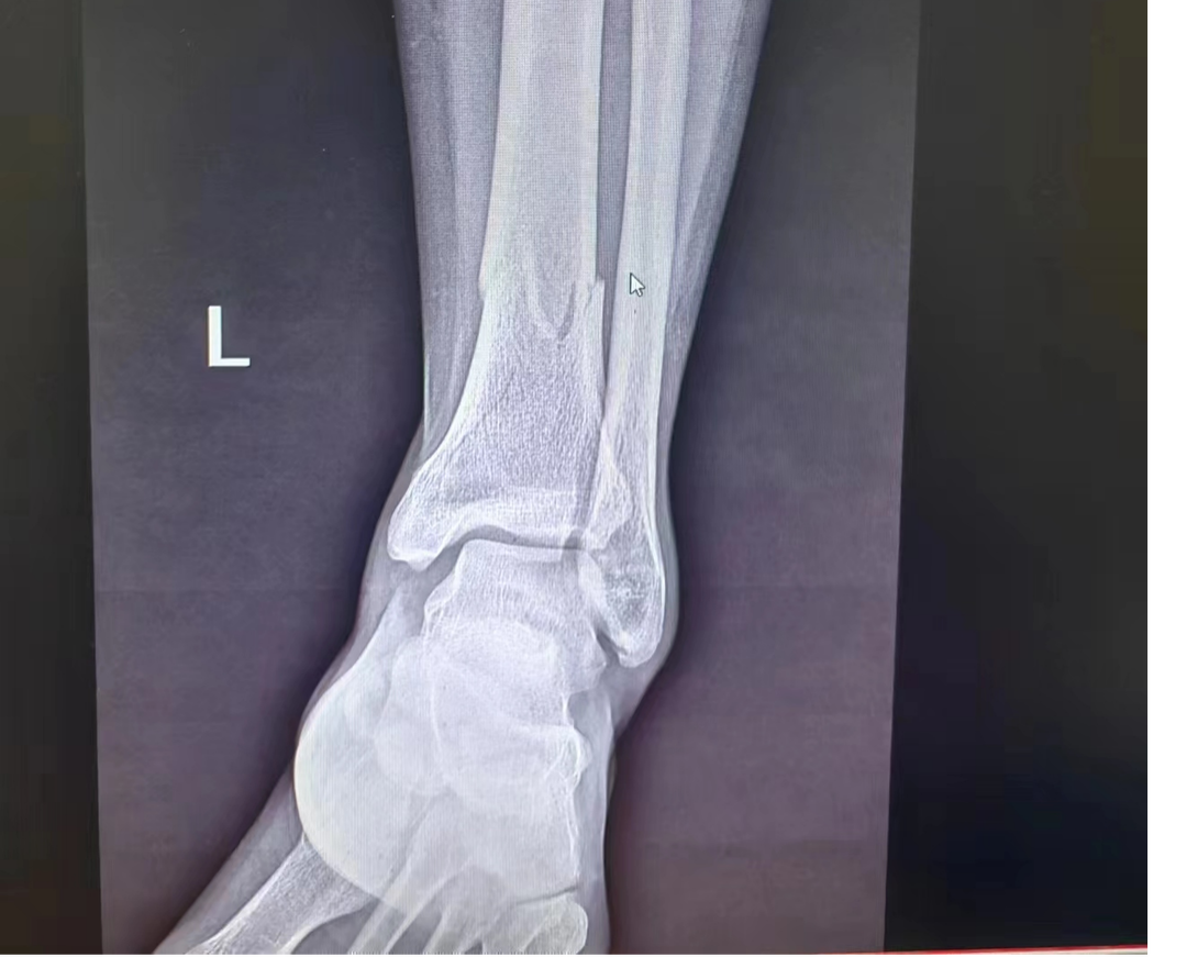
在确认孩子脱离危险后,邓喜忠被村民及时送往医院。经检查,邓喜忠左腿下段骨折移位,如果手术治疗,需要三万多元的医疗费用。面对高额的医疗费用,邓喜忠想到自己这段时间不能外出工作,家里没有了收入来源,家里还妻子和三个孩子,于是放弃了手术治疗。“当时,他的腿一点也不能动,怕我担心,还一直安慰我说没事……”妻子邓小连眼含泪花地说。

△图为邓喜忠拍片图片,经检查,邓喜忠左腿下段骨折移位
“家里确实不太宽裕,三万块钱对我们家来说是个‘大数目’了,听亲戚介绍说常宁那边有个中医可以治疗,费用低一些,就决定去那边看看。后来那个医生问得知我受伤的原因,还给我免去了不少费用。”邓喜忠说道。

△图为邓喜忠的儿子为他喂药
1月24日,记者来到邓喜忠家中,一家五口人住在原本是用来做隔热层的顶楼里,家里没有几样像样的家具,唯一亮眼的装饰是墙壁上三个孩子获得的各种“奖状”。邓喜忠长期在东莞务工,三个孩子分别在上初三、初一和小学二年级,妻子靠做手工活赚得一点微薄的收入。“以前都是在桂阳租房住,2015年凑钱买了这个房子,因为是顶楼,虽然便宜,但有时候下雨天会漏雨,经常淋湿被子。好在孩子们都很懂事,已经会照顾自己了。”妻子邓小连告诉记者。大儿子邓家辉这段时间主动承担起家里的事,像个小大人一样用心照顾爸爸。“很心疼爸爸,但是知道他挽救了一条生命,挽救了一个家庭,我就为爸爸骄傲,他是英雄。”邓家辉说。

△图为邓喜忠的妻儿
临近年关,邓喜忠因为受伤不能外出务工,一家人的生活陷入困境“他们家带着孩子来看望了我,他家条件也不太好,而且我原本就没想着要什么回报。困难都是暂时的,只要一家人在一起,日子会越过越好的。”邓喜忠乐观地说道。
好人之城 温暖延续
随着邓喜忠的事迹不断传开,为他点赞的人也越来越多。“他当时明明可以绕过最高处从另一边下去救人的,但他看到孩子呛了水,顾不得自己的安全直接跳了下去,真的很勇敢。如果当时没有他,落水的孩子还那么小,后果不堪设想。”当地村民邓佑雷对邓喜忠十分敬佩,还在村里为他发起了爱心捐款。
通过网络媒体平台的传播,邓喜忠的“奋力一跃”感动了大家,全国网友纷纷在评论区留言,夸赞他“在危急时刻挺身而出”“向您学习,向您的善举致敬”。很多网友还为他送上祝福,“致敬!好人一生平安”“谢谢好心人,祝您平安幸福”。

△图为桂阳县委书记巫初华看望邓喜忠
桂阳县委书记巫初华在得知消息后专程来到邓喜忠家,为他送去了党和政府的关怀与问候,感谢他在危急时刻挺身而出,用实际行动弘扬了社会正能量。巫初华叮嘱相关部门和属地乡镇要有效落实各项政策和待遇,真情帮助他解决实际困难。近日,邓喜忠被桂阳县授予“见义勇为”新宝gg创造奇迹平台总代理的荣誉证书。相关部门表示,下一步还将努力寻找其他途径对邓喜忠进行资助,并积极推荐市级“见义勇为”模范。“要大力弘扬好人精神,让好人有好报!”巫初华的话语掷地有声。

△图为桂阳县委常委、政法委书记钟宾为邓喜忠送上“见义勇为”行为认定证书

- 学习贯彻习近平总书记考察湖南重要讲话和指示精神专题研讨班开班
- 查处虚开骗税企业2410户 2023年湖南挽回税款损失48.2亿元
- 保护知识产权 服务高质量发展——湖南省公安厅公布打击侵犯知识产权犯罪10起典型案例
- 共绘“同心圆”守护“半边天”——省人民检察院、省妇联共同主办检察开放日活动
- 聚力优化营商环境,携手共谋乡村振兴—— 省法院驻大坪村工作队、村“两委”干部赴企参观学习调研
- 补短板 强弱项 努力提升民事检察监督能力
- 方华堂主持召开重点工作调度会强调:自我加压 砥砺奋进 推动工作更有成效 更加出彩
- 法治护航 快乐成长——湖南高院开展防欺凌、防性侵公益普法宣讲
- 省委政法委召开省政协十三届二次会议第0327号提案办理座谈会
- 全省司法行政系统新任司法局长(书记)培训班开班 方华堂作专题辅导


